Description du champignon
Phomopsis viticola forment deux types d'organes de multiplication et de reproduction.
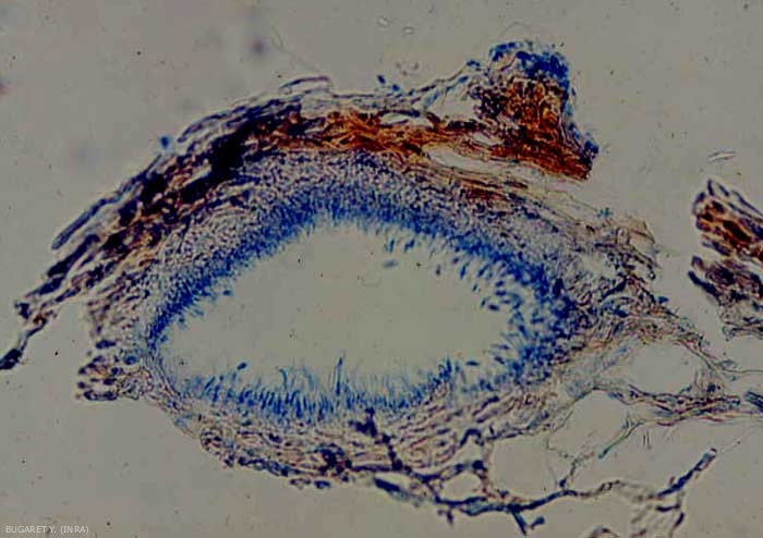
- Des organes de reproduction asexuée, des pycnides (figures 1 à 3), qui sont globuleux et noirs à maturité, et mesurent entre 200 et 400 µm de diamètre. Les conidies exsudent despycnidesparl'ostiole, sous la forme de mucus globuleux (figure 4) ou de longscirrhes (figures 5 et 6) enroulés de couleur blanchâtre à jaune-crème ou de masses gélatineuses ; elles peuventêtre de deux types :
- Des spores α (alpha) (figures 7, 8, et 10), conidies monocellulaires incolores, elliptiques à fusoïdes, mesurant 7-10 x 2-4 µm ; On note aux pôles de ces spores deux formations sphériques caractéristiques, comparables à des gouttes d'huile ;
- Des spores β (beta) (figures 8, 9 et 10), longues conidies filiformes et arquées mesurant 18-30 x 0,5-1 µm.
Il semblerait que les spores alpha constituent la source d'infection la plus importante. Le rôle des spores β, qui ne forment que des tubes germinatifs rudimentaires, est encore inconnu.
- Des périthèces globuleux à fine paroi sont produits dans des stromas subcorticaux. Disposant d'un court et large col, ils produisent des asques de 60-72 x 7-8 µm, contenant des ascospores unicellulaires hyalines mesurant 11-15 x 4-6 µm.
Sur milieu gélosé en boîte de Petri, P. viticola au mycélium hyalin forme une colonie blanche au contour plus ou moins festonné devenant plus sombre en vieillissant. Des zones concentriques plus foncées peuvent être observées sur la colonie lorsque celle-ci est exposée à des alternances jour/nuit, sur lesquelles se développeront les pycnides (figure 11).



