Candidatus Phytoplasma solani
Comme les autres phytoplasmes parasites des cultures, Candidatus Phytoplasma solani appartient aux mollicutes. Ceux-ci auraient évolué par réduction de génome (évolution régressive), à partir d'un ancêtre commun aux bactéries à Gram positif à faible pourcentage en base G+C avec lesquelles ils partagent certaines propriétés.
La réduction du génome a résulté en particulier dans la perte des gènes nécessaires à la synthèse d'une paroi, propriété unique et caractéristique de cette classe bactérienne (figure 1). Ces micro-organismes sont des parasites obligatoires et donc ne peuvent se cultiver sur milieu artificiel.
Chez les solanacées, plusieurs maladies à phytoplasmes, associées à des symptômes plus ou moins comparables, ont été décrites dans de nombreuses zones de production du monde et sous différentes appellations : stolbur, big bud, yellows, proliferation (chez la tomate) ; et chez la pomme de terre : stolbur, purple top ou aster yellow ?
Durant plusieurs décennies, les difficultés rencontrées pour étudier les phytoplasmes en cause, et le manque de méthodes performantes pour les caractériser, n'ont pas permis de savoir avec précision si nous avions affaire dans tous les cas aux mêmes microorganismes.
L'avènement des outils moléculaires a facilité le classement des phytoplasmes en plusieurs groupes et sous-groupes, en fonction de l'analyse de la séquence de leur ARN 16S ribosomique.
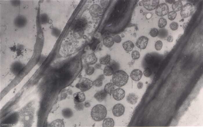
Candidatus Phytoplasma solani est un micro-organisme parasite obligatoire des cellules des tissus conducteurs de la sève élaborée (vaisseaux du phloème). On peut ainsi le détecter en microscopie grâce des anticorps monoclonaux (figure 2).
Comme tous les phytoplames, il est sensible à certains antibiotiques, surtout à la tétracycline qui bloque son développement mais ne le tue pas.



