Biología, epidemiología
- Conservación, fuentes de inóculo
Botrytis cinerea se encuentra a veces en semillas. Es capaz de mantenerse en el suelo sobre los restos vegetales más diversos, esto en varias formas: conidios, micelios y esclerocios (figura 1). Este último se forma en las ramas y, a veces, en las bayas momificadas, o incluso en los tallos en otoño, lo que permite que este hongo permanezca en la vid durante el invierno. Su micelio, presente en la corteza y las yemas latentes, también realiza esta función. Agreguemos que los esclerocios también pueden persistir en el suelo durante varios años. Además, el potencial saprofítico de Botrytis cinerea permite su fácil conservación sobre materia orgánica. También es probable que este hongo polífago ataque y colonice varios cientos de plantas o malezas cultivadas que contribuyen a su conservación y constituyen fuentes potenciales de inóculo.
contaminaciones Las primarias suelen ser aéreas; se trata de conidios (figura 2) formados al final del invierno y en primavera, en particular a partir de esclerocios y micelio y fácilmente transportados por el viento. Estas esporas germinan en unas pocas horas a temperaturas entre 1 y 30 ° C (la óptima es 18-20 ° C) en órganos húmedos y / o en presencia de una humedad ambiental de al menos el 90%. La germinación de los conidios se ve fuertemente afectada a temperaturas superiores a 30 ° C.
- Penetración e invasión
Una vez que se ha iniciado el tubo germinativo, penetra en los tejidos y da lugar al micelio que destruye las paredes de las células y su contenido. La penetración tiene lugar directamente a través de la cutícula y la epidermis, o de varias heridas. Agreguemos que puede penetrar las bayas a través de microgrietas que se forman alrededor de los estomas no funcionales. Podría iniciar contaminaciones latentes como resultado de las contaminaciones ováricas a través de los estigmas y estilos al final de la floración. Las infecciones se producen aproximadamente después de unas 15 horas en presencia de humedad y temperaturas óptimas entre 15 y 20 ° C. Botrytis cinerea , una vez colocada, invade los tejidos sanos (figura 3) o más particularmente todos los tejidos senescentes, necróticos y / o muertos como pétalos, sépalos necróticos, folíolos viejos, bayas abortadas. Ocurre colonizar tejidos ya dañados por otros patógenos, por plagas (Eudemis, cochylis ??) o por granizo. Se propaga rápidamente a los tejidos y en pocos días hace que se pudra, gracias a la hidrólisis de sustancias pépticas.
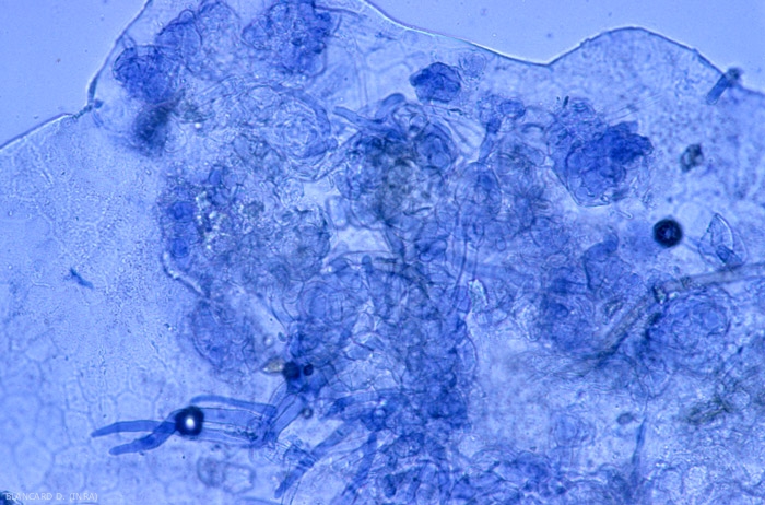
- Esporulación y diseminación
En todos sus hospedadores y en los órganos colonizados, como los restos de plantas, produce micelio y muchos conidióforos largos y ramificados (Figura 4) que causan el moho gris (Figura 5). En sus extremos emergen conidios ovoides a esféricos que aseguran la diseminación de Botrytis cinerea (figura 6). La esporulación puede comenzar 3 días después de las primeras infecciones. La propagación se produce principalmente a través del viento y las corrientes de aire, en menor medida la lluvia y las salpicaduras de agua. El micelio es el origen de las contaminaciones por contacto, desde los tejidos enfermos hasta los tejidos sanos. Botrytis cinerea puede acabar produciendo pequeños esclerocios planos sobre el tejido dañado lo que también permite su conservación. En condiciones favorables, la duración de un ciclo es bastante corta, del orden de 4 días.
- Condiciones favorables para su desarrollo
- El clima : como muchos hongos aéreos, Botrytis cinerea es particularmente aficionado a los ambientes húmedos. Una humedad relativa de alrededor de 90 a 95% y temperaturas entre 17 y 23 ° C son condiciones muy favorables para sus ataques. A una temperatura de 15-20 ° C, se considera que son necesarias de 15 a 20 horas de alta humedad para que la infección se produzca en condiciones ideales. Si, por el contrario, la temperatura es menor, por ejemplo 5 ° C, la duración del período de humedad necesaria aumenta: 50 h. Esto explica por qué el mayor daño se observa en primavera debido a que el clima es templado y húmedo.
- Densidad foliar y producción de uva (carga, compacidad de las bayas, etc.);
- Interacciones con otros problemas de la vid: daños y lesiones vinculadas al desarrollo de otras enfermedades (mildiú polvoroso, daños por granizo, lesiones mecánicas, etc.) y plagas (polillas de las hojas, etc.);
- Material vegetal (variedad de uva, portainjerto, clon): algunas variedades son más sensibles que otras al moho gris. De hecho, variedades de uva como Chardonnay, Chenin Blanc, Riesling o Pinot noir son muy sensibles a Botrytis cinerea porque tienen bayas de piel fina y / o racimos muy compactos, lo que favorece la penetración y propagación del hongo. Otras variedades, como Pinot gris o Caladoc, no son muy sensibles a esta última. Puede consultar la ficha Sensibilidad de las variedades de uva a la podredumbre gris .
- Sinóptico del desarrollo de B. cinerea (figura 7)



