Descripción del hongo
Phomopsis viticola forma dos tipos de órganos de multiplicación y reproducción.
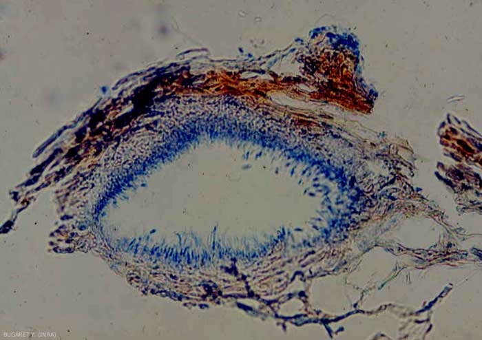
- Órganos reproductores asexuales, picnidios (Figuras 1 a 3) , que son globosos y negros cuando están maduros, y miden entre 200 y 400 µm de diámetro. Los conidios exudan picnidios a través del ostiolo, en forma de moco globular (Figura 4) o esquirlas largas (Figuras 5 y 6) enrolladas de blanquecino a amarillo cremoso o como masas gelatinosas; pueden ser de dos tipos:
- Des esporas α (alfa) (figuras 7, 8 y 10), conidies monocellulaires incolores, ELLIPTIQUES to fusoïdes, mesurant 7-10 x 2-4 pm; En los polos de estas esporas se observan dos formaciones esféricas características, comparables a gotas de aceite;
- De esporas β (beta) (Figuras 8, 9 y 10), conidios filiformes largos y arqueados de 18-30 x 0,5-1 µm.
Parece que las esporas alfa son la fuente de infección más importante. Aún se desconoce el papel de las esporas β, que forman solo tubos germinales rudimentarios.
- En el peritecia estroma subcortical se produjo un abultamiento de paredes delgadas de la . Con un cuello corto y ancho, producen ascos que miden 60-72 x 7-8 µm, que contienen ascosporas hialinas unicelulares que miden 11-15 x 4-6 µm.
En medio de agar en placa de Petri , P. viticola con micelio hialino forma una colonia blanca con un contorno más o menos festoneado que se oscurece con la edad. Se pueden observar zonas concéntricas más oscuras en la colonia cuando está expuesta a alternancias día / noche, sobre las cuales se desarrollarán los picnidios (figura 11).



