Biology, epidemiology
- Conservation, sources d'inoculum
Botrytis cinerea is sometimes found on seeds. It is able to maintain itself in the soil on the most diverse plant debris, this in several forms: conidia, mycelium and sclerotia (figure 1). The latter form on the branches and sometimes on the mummified berries, or even the stems in the fall, which allows this fungus to remain on the vine during the winter. Its mycelium, present in the bark and dormant buds, also performs this function. Let us add that the sclerotia are also able to persist in the soil for several years. In addition, the saprophytic potential of Botrytis cinerea allows it to be easily preserved on organic matter. This polyphagous fungus is also likely to attack and colonize several hundred cultivated plants or weeds which contribute to its conservation and constitute potential sources of inoculum.
contami Primary nations are often aerial; they involve conidia (figure 2) formed at the end of winter and in spring, in particular from sclerotia and mycelium and easily transported by the wind. These spores germinate in a few hours at temperatures between 1 and 30 ° C (the optimum being 18-20 ° C) on wet organs and / or in the presence of an ambient humidity of at least 90%. The germination of conidia is strongly affected at temperatures above 30 ° C.
- Penetration and invasion
Once the germ tube is initiated, it penetrates the tissues and gives rise to mycelium which destroys the walls of the cells and their contents. Penetration takes place either directly through the cuticle and epidermis, or from various wounds. Let us add that it can penetrate the berries via microcracks forming around non-functional stomata. It would be able to initiate latent contaminations as a result of ovarian contaminations via the stigmas and styles at the end of flowering. Infections take place approximately after about 15 hours in the presence of humidity and optimal temperatures between 15 and 20 ° C. Botrytis cinerea , once in place, invades healthy tissues (figure 3) or more particularly all senescent, necrotic and / or dead tissues such as petals, necrotic sepals, old leaflets, aborted berries It happens to colonize tissues already damaged by other pathogens, by pests (Eudemis, cochylis ) or by hail. It quickly spreads to tissues which it causes to rot in a few days, thanks to the hydrolysis of peptic substances.
- Sporulation and dissemination
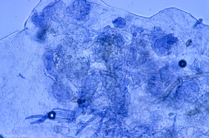
On all of its hosts and on colonized organs, such as on plant debris, it produces mycelium and many long, branched conidiophores (Figure 4) that cause gray mold (Figure 5). At their ends emerge ovoid to spherical conidia which ensure the dissemination of Botrytis cinerea (figure 6). Sporulation can start 3 days after the first infections. Spread is mainly through wind and drafts, to a lesser extent rain and splashing water. The mycelium is at the origin of contaminations by contact, from diseased tissues to healthy tissues. Botrytis cinerea can end up producing small flat sclerotia on damaged tissue which also allows its preservation. Under favorable conditions, the duration of a cycle is quite short, of the order of 4 days.
- Conditions favorable to its development
- The climate : like many aerial fungi, Botrytis cinerea is particularly fond of humid environments. A relative humidity of around 90 to 95% and temperatures between 17 and 23 ° C are very favorable conditions for its attacks. At a temperature of 15-20 ° C, it is considered that 15 to 20 hours of high humidity are necessary for the infection to take place under ideal conditions. If, on the other hand, the temperature is lower, for example 5 ° C, the duration of the period of necessary humidity increases: 50 h. This explains why the greatest damage is observed in spring because the climate is mild and humid.
- Leaf density and grape production (load, berry compactness, etc.);
- Interactions with other grapevine issues: damage and injuries linked to the development of other diseases (powdery mildew, hail damage, mechanical injuries, etc.) and pests (budworms, etc.);
- Plant material (grape variety, rootstock, clone): some varieties are more sensitive than others to gray mold. Indeed, grape varieties such as Chardonnay, Chenin Blanc, Riesling or Pinot noir are very sensitive to Botrytis cinerea because they have fine-skinned berries and / or very compact clusters, which promotes the penetration and spread of the fungus. Other varieties, such as Pinot gris or Caladoc, are not very sensitive to the latter. You can consult the sheet Sensitivity of grape varieties to gray rot .
- Synoptic of the development of B. cinerea (figure 7)



