Pythium spp., Phytophthora spp.

Oomycete rots

 

General

  • Microorganisms recently reclassified in Stramenopila* among which are found several mildew agents Pseudoperonospora cubensis , Phytophthora infestans , etc.
  • Widespread worldwide, reported on many vegetables in many countries on all continents.
  • Rather polyphagous microorganisms; several species of Pythium and Phytophthora are listed among vegetable species. Distrust, some can colonize tissue damaged by a primary invader.
  • Responsible for damage throughout the production cycle of plants, both in nurseries on seedlings and in crops on adult plants, in particular in tropical to equatorial zones: damping-off, rotting on all telluric organs but also aerial. they can also act in complex with other telluric bioaggressors, associated with root dieback.
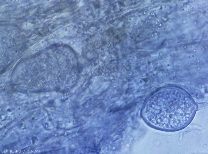
  • Their parasitism is materialized by the presence of non-chambered mycelium (figures 1 and 2), oospores (figures 3 to 5) and sporangia (figure 6) in the altered tissues.
  • Rather observed in the open field.

* There are about 800 saprophytic or parasitic species of Oomycetes which have long been classified as Phycomycetes or “lower fungi” (Eumycetes). This classification was revised a few years ago because the ultrastructure of these microorganisms, their biochemistry and their molecular sequences indicated that they belonged to Chromists , including especially algae (green and brown), diatoms.… Currently, in function bibliographical sources, they can be associated either with the reign of the Chromista (Index fungorum), or with the reign of the Stramenopila (Tree of life).


  •  The main : Pythium myriotylum,  P. ultimate , P. acanthicum , P. aphanidermatum , Phytophthora  nicotianae, P. capsici, P. drechsleri …, P. mexicana , P. melonis , P. citrophthora , etc.
    • Solanaceae  : several species of Pythium ( P. aphanidermatum , ), Phytophthora nicotianae ,
    • Cucurbitaceae: several species of Pythium ( P. aphanidermatum , ), Phytophthora capsici ,
  • Sensitive botanical family (s)
Solanacées Cucurbits

 


Biology

  • Conservation : capable of living in a saprophytic state at the expense of the organic matter present in the soil or substrates. Oospores (figures 3 to 5) and chlamydospores perfectly ensure their conservation in the soil, whether in wet or dry conditions. Many hosts, cultivated or not, also ensure their multiplication and conservation.  
  • Sources of inoculum : substrate, plants, irrigation water, plant debris, sludge, soil dust, etc.
  • Infection : directly penetrate the epidermal tissues of young roots and fruits, but also through wounds. They rapidly invade the tissues thanks to their non-chambered mycelium (figures 1 and 2) progressing between and within the cells.
  • Sporulation : more or less abundantly in and on the tissues they have invaded (roots, collar, fruits, etc.), forming in particular sporangia (figure 6) which can germinate directly or produce flagellated and motile zoospores. The latter are easily disseminated in the aqueous phase of the soil and in the nutrient solution of soilless crops, and are attracted by root exudates. Aerial dissemination is possible following splashes occurring during sprinkler irrigation or heavy rains. Certain insects, in particular flies, could be the source of contamination, via the transport of oospores.
  • Favorable conditions :
    • a high density of seedlings in nurseries and of roots in the loaves of soilless crops;
    • excess nitrogen, high salt concentrations, etc. ;
    • the presence of water, excessive soil moisture and reduced gas exchange, heavy and/or compacted soils;
    • the temperature influences their behavior differently, with rather thermophilic species like Pythium aphanidermatum , Phytophthora capsici ;
    • the receptivity of hosts which is not constant throughout their life;
    • the intervention of other bioaggressors leading to much more destructive interactions for vegetables.
 

Protection

  • Carry out crop rotations in virgin land, they are no longer very effective in contaminated soil.
  • Ensure good soil drainage, and add organic matter to heavy soils.
  • Ventilate the nurseries well , avoid too high densities and excessive water supplies, monitor the quality of the seedlings at planting.
  • Avoid planting too deeply, burying the collar of the plants. Plant on mounds to avoid water retention at the foot of the plants.
  • Install mulch to create a mechanical barrier between the soil and plant organs, especially fruit.
  • Take care irrigation : optimal quantity, localized supply, etc. Avoid overhead irrigation and monitor the sanitary quality of the water.
  • Maintain fertilization and avoid stressing plants.
  • Eliminate plant debris during and at the end of cultivation, as well as potential host weeds likely to harbor or promote the development and preservation of these organisms in the soil.

 See also this  sheet  

Last change : 05/09/22
Pythium-Mycelium
Figure 1
Pythium-Mycelium2
Figure 2
Pythium-Oospores2
Figure 3
Pythium-Oospores1
Figure 4
Phytophthora-Oospores
Figure 5
Phytophthora-sporanges
Figure 6