Description of the fungus
Phomopsis viticola form two types of multiplication and reproduction organs.
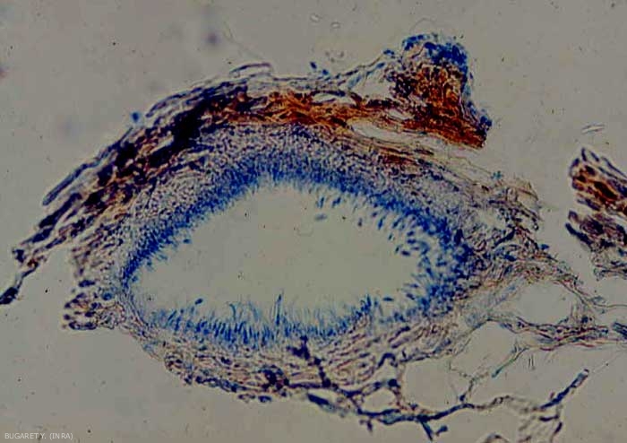
- Asexual reproductive organs, pycnidia (Figures 1 to 3) , which are globose and black when ripe, and measure between 200 and 400 µm in diameter. The conidia exude pyknidia through the ostiole, in the form of globular mucus (Figure 4) or long scirrhes (Figures 5 and 6) coiled whitish to creamy yellow or as gelatinous masses; they can be of two types:
- Des spores α (alpha) (figures 7, 8, and 10), conidies monocellulaires incolores, ELLIPTIQUES to fusoïdes, mesurant 7-10 x 2-4 pm; At the poles of these spores are noted two characteristic spherical formations, comparable to drops of oil;
- Of β spores (beta) (Figures 8, 9 and 10), long and arcuate filiform conidia measuring 18-30 x 0.5-1 .mu.m.
It seems that alpha spores are the most important source of infection. The role of β spores, which form only rudimentary germ tubes, is still unknown.
- Of perithecia thin-walled bulging occurred in subcortical stroma. With a short and broad neck, they produce asci measuring 60-72 x 7-8 µm, containing ascospores unicellular hyaline measuring 11-15 x 4-6 µm.
On agar medium in a Petri dish , P. viticola with hyaline mycelium forms a white colony with a more or less scalloped outline that becomes darker with age. Darker concentric zones can be observed on the colony when it is exposed to day / night alternations, on which the pycnidia will develop (figure 11).



