Descrizione dei lieviti

 

 

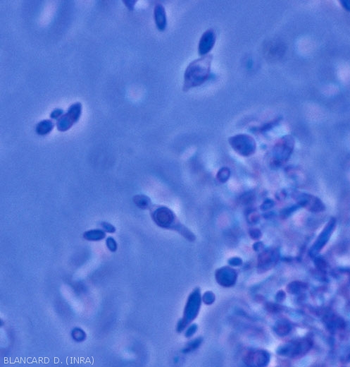
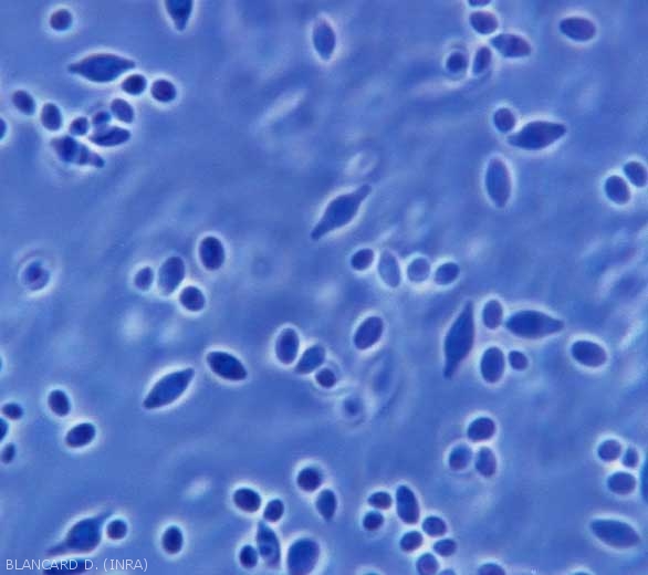
  • Kloeckera apiculata : cellule isolate, in coppia o occasionalmente in gruppi di 3-4 cellule (Figura 1). La loro forma ellissoidale e appuntita alle estremità conferisce loro l'aspetto di un limone le cui dimensioni sono dell'ordine di 1,4-5,3 x 2,6-12,2 µm. La formazione di una nuova cellula viene effettuata dai poli. Le cellule ovali di Hanseniaspora uvarum hanno un'estremità appuntita. Isolati o in coppia, si moltiplicano per gemmazione bipolare (Figura 2).
    Aspetto delle colonie su terreno agar-malto : grigio, anche da giallastro a cremoso, con striature fini.
  • Candida stellata : cellule ovoidali che germogliano in modo multilaterale, le cellule figlie non si staccano bene dalla cellula madre. Inoltre, sono assemblati a forma di stella.
    Aspetto delle colonie su terreno agar-malto: grigio-bianco e hanno un aspetto lucido e una superficie liscia.
  • Pichia membranifaciens  :  cellule da ovali a cilindriche, con dimensioni dell'ordine di 2-5,5 x 4,5-20 µm. Si osservano singolarmente, in coppia o in catene, e si moltiplicano per gemmazione multilaterale. La coniugazione tra due cellule di tipo opposto dà luogo alla formazione di aschi contenenti ciascuno da 1 a 4 ascospore sferiche.
    Aspetto delle colonie su terreno agar-malto : bianco-giallo, opaco e liscio.
  • Metschnikowia pulcherrima  : cellule ellissoidali (2,5-6 x 4-10 µm) che si moltiplicano anche per gemmazione multilaterale. Invecchiando, diventano piuttosto globulari e sviluppano uno o più globuli lipidici. La riproduzione sessuale di questo lievito porta alla formazione di aschi contenenti da 1 a 2 ascospore allungate.
    Aspetto delle colonie su terreno agar-malto : color crema, alcune anche con sfumature rosso-brune. La loro superficie è liscia e lucida.
  • Rhodotorula spp . : cellule da sferiche a allungate, che si riproducono per gemmazione multilaterale. I blastoconidi così formati sono unicellulari e di forma globulare o allungata. A volte possono essere incapsulati.
    Aspetto delle colonie su terreno malto-agar : produzione di pigmenti rossi e/o gialli. L'aspetto delle colonie è liscio, lucido o opaco, di colore da crema a rosa, corallo o giallo.
  • Candida krusei colonnari  : cellule ovali o . La frequenza di ciascuna forma varia a seconda del ceppo, ma di solito troviamo una maggioranza di cellule colonnari. La loro riproduzione è assicurata dal germogliamento multilaterale. Lo pseudomicelio può formarsi e differenziarsi da pseudoife e blastoconidi.
    Aspetto delle colonie su terreno agar-malto : colore giallo-verde piuttosto spento, la loro superficie è generalmente liscia.
  • Zygosaccharomyces rouxii : cellule isolate o in coppia, di solito in catene o gruppi. Sono stati identificati due gruppi di cellule, di dimensioni variabili, di forma da sferica a cilindrica. Le celle più grandi hanno dimensioni dell'ordine di 3-7 x 4-14 µm, le più piccole misurano 2,5-6 x 3,5-9-15 µm.
    Aspetto delle colonie su terreno agar-malto : colore da crema a marrone e superficie liscia piuttosto lucida.
Ultima modifica07/08/21
Acide_apiculata1
FIG1
Acide_apiculata2
FIG2
Acide_stellata
FIG3
Acide_membranefa1
FIG4
Acide_membranefa2
FIG5