Biologia, epidemiologia
- Conservazione, fonti d'inoculo
La Botrytis cinerea si trova talvolta sui semi. È in grado di mantenersi nel terreno sui più diversi detriti vegetali, questo in diverse forme: conidi, micelio e sclerozi (figura 1). Questi ultimi si formano sui rami e talvolta sulle bacche mummificate, o anche sugli steli in autunno, cosa che permette a questo fungo di rimanere sulla vite durante l'inverno. Il suo micelio, presente nella corteccia e nelle gemme dormienti, svolge anche questa funzione. Aggiungiamo che gli sclerozi sono anche in grado di persistere nel terreno per diversi anni. Inoltre, il potenziale saprofitico di Botrytis cinerea permette di conservarlo facilmente su materia organica. Questo fungo polifago è anche in grado di attaccare e colonizzare diverse centinaia di piante coltivate o infestanti che contribuiscono alla sua conservazione e costituiscono potenziali fonti di inoculo.
contaminazioni Le primarie sono spesso aeree; si tratta di conidi (figura 2) formati alla fine dell'inverno e in primavera, in particolare da sclerozi e micelio e facilmente trasportati dal vento. Queste spore germinano in poche ore a temperature comprese tra 1 e 30°C (l'optimum è 18-20°C) su organi umidi e/o in presenza di un'umidità ambientale di almeno il 90%. La germinazione dei conidi è fortemente influenzata a temperature superiori a 30°C.
- Penetrazione e invasione
Una volta che il tubo germinale è stato avviato, penetra nei tessuti e dà origine al micelio che distrugge le pareti delle cellule e il loro contenuto. La penetrazione avviene direttamente attraverso la cuticola e l'epidermide, o da varie ferite. Aggiungiamo che può penetrare nelle bacche tramite microfratture che si formano attorno agli stomi non funzionali. Sarebbe in grado di avviare contaminazioni latenti a seguito di contaminazioni ovariche attraverso gli stimmi e gli stili alla fine della fioritura. Le infezioni avvengono indicativamente dopo circa 15 ore in presenza di umidità e temperature ottimali comprese tra 15 e 20°C. La Botrytis cinerea , una volta in sede, invade i tessuti sani (figura 3) o più in particolare tutti i tessuti senescenti, necrotici e/o morti come petali, sepali necrotici, vecchie foglioline, acini abortiti Capita di colonizzare tessuti già danneggiati da altri patogeni, da parassiti (Eudemis, cochylis) o dalla grandine. Si diffonde rapidamente ai tessuti che fa marcire in pochi giorni, grazie all'idrolisi delle sostanze peptiche.
- Sporulazione e disseminazione
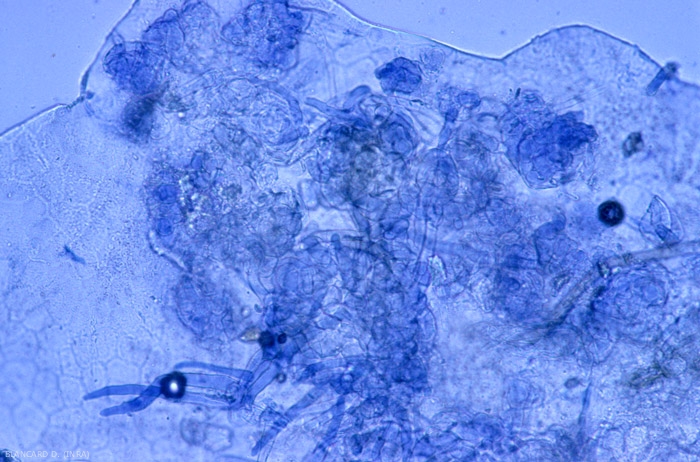
Su tutti i suoi ospiti e sugli organi colonizzati, come sui detriti vegetali, produce micelio e numerosi conidiofori lunghi e ramificati (figura 4) che causano muffe grigie (figura 5). Alle loro estremità emergono da ovoidali a conidi sferici che assicurano la disseminazione di Botrytis cinerea (figura 6). La sporulazione può iniziare 3 giorni dopo le prime infezioni. La diffusione avviene principalmente attraverso vento e correnti d'aria, in misura minore pioggia e spruzzi d'acqua. Il micelio è all'origine delle contaminazioni per contatto, dai tessuti malati ai tessuti sani. Botrytis cinerea può finire per produrre piccoli sclerozi piatti sul tessuto danneggiato che ne consente anche la conservazione. In condizioni favorevoli, la durata di un ciclo è piuttosto breve, dell'ordine di 4 giorni.
- Condizioni favorevoli al suo sviluppo
- Il clima : come molti funghi aerei, la Botrytis cinerea ama particolarmente gli ambienti umidi. Un'umidità relativa intorno al 90-95% e temperature comprese tra 17 e 23°C sono condizioni molto favorevoli per i suoi attacchi. A una temperatura di 15-20 ° C, si ritiene che siano necessarie da 15 a 20 ore di elevata umidità affinché l'infezione avvenga in condizioni ideali. Se invece la temperatura è più bassa, ad esempio 5°C, aumenta la durata del periodo di umidità necessaria: 50 h. Questo spiega perché i danni maggiori si osservano in primavera perché il clima è mite e umido.
- Densità fogliare e produzione di uva (carico, compattezza dell'acino, ecc.);
- Interazioni con altre problematiche della vite: danni e lesioni legate allo sviluppo di altre malattie (oidio, danni da grandine, lesioni meccaniche, ecc.) e parassiti (cocciniglie, ecc.);
- Materiale vegetale (vitigno, portainnesto, clone): alcune varietà sono più sensibili di altre alla muffa grigia. Infatti, vitigni come Chardonnay, Chenin Blanc, Riesling o Pinot nero sono molto sensibili alla acini dalla buccia Botrytis cinerea perché hanno fine e/o grappoli molto compatti, che favoriscono la penetrazione e la diffusione del fungo. Altre varietà, come il Pinot grigio o il Caladoc, sono poco sensibili a quest'ultimo. Potete consultare la scheda Sensibilità dei vitigni al marciume grigio .
- Sinottica dello sviluppo di B. cinerea (figura 7)



