Description des levures

 

 

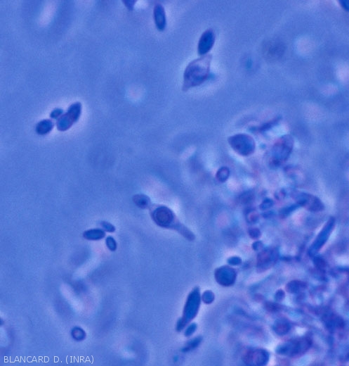
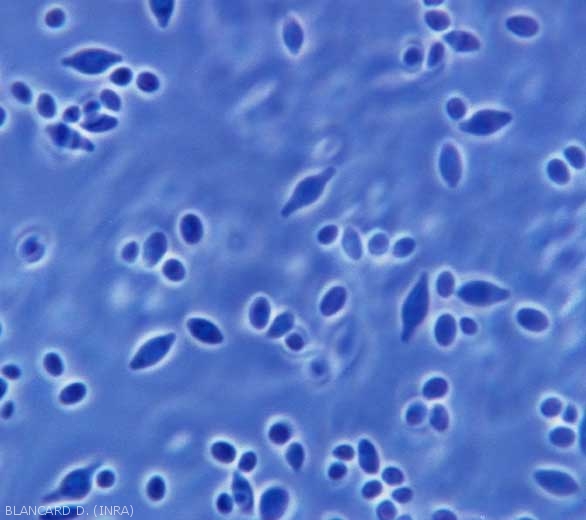
  • Kloeckera apiculata : celules isolées, soit par paires ou occasionnellement sous forme de groupes de 3 à 4 cellules (figure 1). Leur forme ellipsoïdale et pointue aux extrémités leur confère l'aspect d'un citron dont les dimensions sont de l'ordre de 1.4-5.3 x 2.6-12.2 µm. La formation d'une nouvelle cellule s'effectue par les pôles. Les cellules ovales de Hanseniaspora uvarum ont une extrémité pointue. Isolées ou par paires, elles se multiplient par bourgeonnement bipolaire (figure 2).
    Aspect des colonies sur milieu malt-agar : grises, voire jaunâtres à crèmes, et présentant des stries fines.
  • Candida stellata : cellules ovoïdes bourgeonnant multilatéralement, les cellules filles se détachant mal de la cellule mère. Aussi, elles sont assemblées sous la forme d'une étoile.
    Aspect des colonies sur milieu malt-agar : gris-blanc et ont un aspect brillant et une surface lisse.
  • Pichia membranifaciens : cellules ovales à cylindriques, de dimensions de l'ordre de 2-5.5 x 4.5-20 µm. Elles sont observées isolées, par paires ou en chaînes, et se multiplient par bourgeonnement multilatéral. La conjugaison entre deux cellules de type opposé donne lieu à la formation d'asques contenant chacun 1 à 4 ascospores sphériques.
    Aspect des colonies sur milieu malt-agar : blanc-jaune, mats et lisses.
  • Metschnikowia pulcherrima :  cellules ellipsoïdales (2.5-6 x 4-10 µm) se multipliant aussi par bourgeonnement multilatéral. En vieillissant, elles deviennent plutôt globulaires et développent un ou plusieurs globules lipidiques. La reproduction sexuée de cette levure aboutit à la formation d'asques contenant 1 à 2 ascospores de forme allongée.
    Aspect des colonies sur milieu malt-agar : couleur crème, certaines prenant même des teintes rouge-marron. Leur surface est lisse et brillante.
  • Rhodotorula spp. : cellules de forme sphérique à allongée, se reproduisant par bourgeonnement multilateral. Les blastoconidies ainsi formées sont unicellulaires et de forme globulaire à allongée. Quelquefois, elles peuvent être encapsulées.
    Aspect des colonies sur milieu malt-agar : production de pigments rouges et/ou jaunes. L'aspect des colonies est lisse, brillant ou mat, de couleur crème à rose, corail ou encore jaune.
  • Candida krusei : cellules ovales ou cylindriques. La fréquence de chaque forme varie selon la souche mais on rencontre généralement une majorité de cellules cylindriques. Leur reproduction est assurée par bourgeonnement multilatéral. Un pseudomycelium peut se former et se différencier des pseudohyphes et des blastoconidies.
    Aspect des colonies sur milieu malt-agar : coloration jaune-vert plutôt terne, leur surface est le plus souvent  lisse.
  • Zygosaccharomyces rouxii  : cellules isolées ou par paires, généralement en chaînes ou en touffes. Deux groupes de cellules ont été identifiés, variant par leur taille, leur forme sphérique à cylindrique. Les cellules les plus grandes ont des dimensions de l'ordre de 3-7  x  4-14 µm, les plus petites mesurent 2.5-6  x  3.5-9-15 µm.
    Aspect des colonies sur milieu malt-agar : teinte crème à marron et une surface lisse plutôt brillante.

 

Dernière modification : 26/01/2021
  • Auteurs :
  • D Blancard (INRAe)
  • M Sorel
Acide_apiculata1
Figure 1
Acide_apiculata2
Figure 2
Acide_stellata
Figure 3
Acide_membranefa1
Figure 4
Acide_membranefa2
Figure 5